凯发k8

English 凯发k8集团企业邮箱

第三节 烧伤湿性医疗手艺对烧伤全厚皮(真皮)坏死创面皮肤 心理再生的组织学视察—典范病例先容

作者:中国中西医连系学会烧伤专业委员会 出书社:中国医药科技出书社 刊行日期:2000年6月

患者李×× 女20岁 汽油烧伤35%TBSA(深Ⅱ度深型15% 浅Ⅲ度20%)。。 。

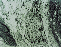
伤后12h急诊入院,,,,,,检查双下肢为浅Ⅲ度烧伤。。 。创面表皮已坏死剥脱,,,,,,真皮层变性坏死呈蜡黄色和蜡白色相间(图5-3-1)。。 。取局部组织做病理切片检查,,,,,,显示上皮组织全层坏死,,,,,,真皮层胶原纤维变性,,,,,,结构杂乱,,,,,,微循环瘀滞(图5-3-2)。。 。

入院后连忙用MEBO外涂;;;ご疵,,,,,,并行耕作减张处置惩罚。。 。伤后48h部分创面最先液化,,,,,,伤后4天创面坏死组织已所有最先液化(图5-3-3)。。 。每3~4h扫除创面液化物一次并外涂MEBO。。 。

原位切取创面组织病理切片检查,,,,,,见坏死上皮组织间有大宗颗粒样组织,,,,,,新生上皮细胞和胶原纤维组织呈团样增生,,,,,,并可见到典范的类似于胎儿皮肤结构的皮肤胚胎基(embryonic base,EB)(图5-3-4a,5-3-4b)。。 。MEBT治疗10天后,,,,,,在创面边沿取上皮组织病理切片可见到较原始的上皮组织。。 。

MEBT治疗20天,,,,,,深度创面处组织切片可见新生较完整的复层鳞状上皮组织,,,,,,表皮层细胞形态已经趋于正常,,,,,,真皮层胶原纤维细胞和微血管形态已经泛起。。 。

治疗30天后,,,,,,创面上皮组织再生修复优异(图5-3-5),,,,,,皮肤结构已经基本正常(图5-3-6)。。 。

1. 组织化学及免疫组织化学染色检查 MEBT/MEBO治疗20天后创面组织化学染色,,,,,,上皮组织和皮下组织中胶原纤维清晰可见。。 。

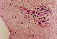
嗜银染色,,,,,,显示网状纤维再生涯跃。。 。皮下组织小血管周围网状纤维组织较量正常。。 ;;;撞慊钤驹偕ㄍ5-3-7~5-3-8)。。 。

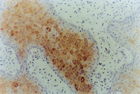
MEBT/MEBO治疗30天后,,,,,,再生修复的上皮组织举行细胞角质素AE3检查为阳性,,,,,,表皮颗粒层细胞质呈棕色染色,,,,,,细胞核呈蓝色(图5-3-9~5-3-6),,,,,,证实为自身再生的复层鳞状上皮。。 。

AE1染色腺上皮卵白阴性。。 。此征象思量为汗腺上皮细胞已转化为表皮干细胞(图5-3-11)。。 。

2. 电镜视察 受伤当日上皮组织变性坏死,,,,,,可见单核细胞核偏移、固缩,,,,,,并有吞噬征象(图5-3-12)。。 。

经MEBT/MEBO治疗5天,,,,,,可见创面纤维细胞,,,,,,成纤维细胞生长较量活跃(图5-3-13)。。 。

经MEBT/MEBO治疗10天,,,,,,创面组织切片可见表皮棘层棘细胞泛起并有桥粒毗连(图5-3-14~5-3-15)。。 ?????帕2憧帕O赴浩。。 。在基内情胞层可见玄色素小体(图5-3-6~5-3-17)。。 。并可见小血管周围的吞噬细胞有吞噬征象(图5-3-18),,,,,,说明其功效也已经在恢复。。 。

经MEBT/MEBO治疗20天,,,,,,电镜视察到基内情胞层与纤维母细胞之间的半桥粒毗连,,,,,,同时可见纤维母细胞内粗面内质网结构和线粒体增生涯跃(图5-3-19~5-3-21)。。 。 MEBT/MEBO治疗30天后,,,,,,上皮组织再生修复,,,,,,已基本完成,,,,,,创面组织切片显示胶原纤维成熟,,,,,,排列整齐(图5-3-22),,,,,,直径为0.1~0.5祄,,,,,,并可见明暗相间周期性横纹(64nm),,,,,,未见到胶原纤维扭曲和呈旋涡、菜花等病理形态。。 。

创面愈合后下肢功效磨炼,,,,,,创面继续外用MEBO作润肤油使用。。 。伤后45天痊愈出院。。 。

         

5-3-1 李某 女 20岁,,,,,,汽油烧伤35%TBSA (深Ⅱ°深型15%,,,,,,浅Ⅲ°20%)

         

5-3-2 上皮组织全层坏死,,,,,,胶原纤维变性,,,,,,微循环瘀滞 HE×20

         

5-3-3 伤后4天,,,,,,创面在MEBO作用下进入液化期,,,,,,创面皮肤组织最先再生

         

5-3-4a 新生上皮组织和胶原纤维增生,,,,,,可见典范EB(皮肤胚胎基) HE×40

         

5-3-4b 新生上皮组织中可见微血管,,,,,,胶原纤维和上皮细胞(干细胞)形成的皮肤胚胎基组织  HE×40

         

5-3-5 MEBT/MEBO治疗30天,,,,,,创面皮肤再生修复优异

         

5-3-6 治疗30天后的创面其表皮组织,,,,,,真皮组织结构已呈心理状态  HE×20

(组织化学嗜银染色)

         

5-3-7 MEBT/MEBO治疗20天,,,,,,表皮基底层,,,,,,基底膜再生涯跃  HE×20

         

5-3-8 同上,,,,,,真皮层小血管周围网状纤维呈玄色染色  HE×40

(免疫组织化学染色)

         

5-3-9 MEBT/MEBO治疗30天,,,,,,细胞角质素AE3呈阳性。。 。(说明患者烧伤创面是自我再生修复) HE×20

         

5-3-10 同上  HE×40

         

5-3-11 AE1染色。。 。腺上皮卵白阴性  HE×20

电镜视察

         

5-3-12 烧伤当日,,,,,,单核细胞核偏移,,,,,,固缩,,,,,,并有吞噬征象  TE×8000

         

5-3-13 MEBT/MEBO治疗5天,,,,,,成纤维细胞生长活跃  TEM×2000

         

5-3-14 MEBT/MEBO治疗20天,,,,,,4个棘细胞的桥粒毗连   TEM×3500

         

5-3-15 桥粒结构 TEM×20000

         

5-3-16 颗粒细胞  TEM×3500

         

5-3-17 基内情胞层(玄色素小体)  TEM×6000

         

5-3-18 吞噬细胞活跃  TEM×6000

         

5-3-19 MEBT/MEBO治疗20天,,,,,,示纤维母细胞,,,,,,及与基底膜半桥粒毗连的上皮细胞 TEM×3000

         

5-3-20 粗面内质网结构和线粒体增生涯跃  TEM×17000

         

5-3-21 同上  TEM×20000

          

5-3-22 MEBT/MEBO治疗30天,,,,,,整齐排列的胶原纤维,,,,,,纤维匀称一致直 径 0.1~0.5祄,,,,,,有明暗相间的周期性横纹(64nm)

(萧摩、赵俊祥)
【网站地图】【sitemap】